脳室周囲白質軟化症(PVL)
脳室周囲白質軟化症(PVL)の概要
脳室周囲白質軟化症(PVL)とは、運動神経の集まる脳の「白質」の所が出生前に何らかの原因で血流が乏しかった(虚血状態)ことで、局所的に壊死となりその結果、上肢や下肢の麻痺が発生し運動障がいを起こす症状です。脳の発育が未熟な時期に生まれてしまう早産児(在胎32週以下)や低出生体重児(2,500g未満)で起こりやすく、脳性麻痺の原因となります。
近年では医療の発達によって極低出生体重児(1,500g未満)でも救命できるようになったことから、PVLの数は増えており、極低出生体重児の約7-14%で発症するとも言われています。

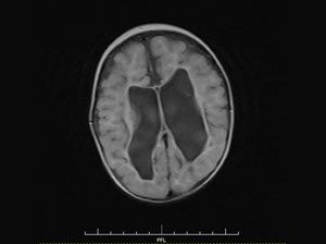
▲中央の黒い部分(脳室)の拡大と周囲にある白質の軟化
脳室周囲白質軟化症(PVL)の原因
『脳室周囲白質軟化症(PVL)』は脳室周囲白質部にある頭頂葉に存在する運動中枢からの神経線維(いわゆる皮質脊髄路)が存在するため、その連絡が絶たれ、痙性麻痺となります。
脳室に一番近いところを、下肢を支配する皮質脊髄路が通っているので、下肢の痙性麻痺を伴うことが多くあります。左側にPVLが存在すれば右側の痙性麻痺を、両側に存在すれば両側の痙性麻痺を伴います。
PVLの範囲が、大きければ大きいほど、その障害の程度は大きくなり、上肢を支配する皮質脊髄路までその範囲が両側に広がれば四肢麻痺となり、視放線に達すれば視野狭窄などの視力障害をきたすことになります。
未熟児(早産児あるいは低出生体重児)で出生するため、脳の中の脳室という部分の成長が乏しく周囲が軟らかい状態であり、身体から手足に向かう神経がダメージを受けている状態です。
特に足では緊張が強く発症し足の内側過緊張状態や尖足(クロス状態やつま先緊張)といった症状がみられます。
脳室周囲白質軟化症(PVL)の主症状
◎下肢の症状
下肢の筋肉が硬く突っ張ってくる(尖足と言われるつま先立ち状態)
(足関節の緊張、かかとが床につかない事が尖足状態。)
下肢のツッパリ、大腿内側の筋肉の緊張 (はさみ足と言われるクロスする下肢)
脳室周囲近辺には下肢をコントロールする神経(皮質脊髄路)が通っているので、PVLは下肢の麻痺を起こしやすい。
◎上肢の症状
手足の筋肉が突っ張って硬い
手首や足首、肘や膝が緊張して固まっている
指の把握動作がしにくい(物をスムーズにつかむ、離すがしにくい)
◎体幹の症状
体幹・背部の緊張による反り返り
その他、斜視 視野狭窄 便秘など
当院での脳室周囲白質軟化症(PVL)の施術
当院では、少しでもお子様の症状が軽減するように、早い時期からの治療を行っています。お子様の状態によって個人差がありますが目安としては、生後6ヶ月、もしくは5kg以上で「新脳針」が可能です。
(※上記に満たないお子様は小児はり(刺さない鍼)と3つのプログラムは進める事が出来ますので、お気軽にご相談ください。)
「新脳針」と『3つのプログラム』を中心として施術を行っていきます。
新脳針は脳の神経ネットワークの拡大を図り、3つのプログラムは身体の情報を脳で学習することを目的に行います。
「新脳針」療法は、脳がダメージを受けた機能へのアプローチを行い、電気刺激刺激により確率共振反応から脳神経細胞のネットワークを広げ各神経細胞の活性化を図ります。
また、全身の治療を行うことでメッセンジャー物質が身体へ反応し臓器同士の会話が起こり関節や筋肉の緊張を和らげ、脳への血流量を増加させます。
頭を中心に身体にも鍼を刺しますので、子どもに針治療を受けさせるのは怖いと思われる親御さんも多いと思いますが、注射針のような太い針ではなく、髪の毛ほどの極細い針を使用し、それほど強い痛みを伴うものではありません。
また「新脳針」は脳の神経細胞を活性化させるため、成長を促すことが期待でき、副作用がないことも大きな長所です。

脳室周囲白質軟化症(PVL)見込める効果・期待できる効果や変化
子供は脳の柔軟性が高く施術に対して吸収しやすい為、幼少期から「新脳針」と「3つのプログラム」など良質な刺激を与えてあげることで、尖足や緊張による変形など二次障がいを防ぎながら、自分で身動き出来ることを増やし、生活の質を高めたり、必要な介助量を減らしたりすることを目標にします。
|
改善例 ・歩くのが上手になった ・小走りやジャンプができるようになってきた ・動こうとすることが増えた ・ブランコに乗れるようになった ・手がしっかり開くようになってきた ・体幹が強くなってきた ・座る姿勢が安定してきた ・足の緊張が減った ・体幹が強くなってきた ・手がしっかり開くようになってきた ・踵が着くようになってきた ・バランスよく立てるようになってきた ・コミュニケーションや会話がスムーズにできるようになってきた |
・手がしっかり開くようになってきた ・ハサミを使えるようになった ・足の緊張が減った ・踵が着くようになってきた ・体幹が強くなってきた ・歩くのが上手になった ・小走りやジャンプができるようになってきた ・コミュニケーションや会話がスムーズにできるようになってきた ・手がしっかり開くようになってきた ・ハサミを使えるようになった ・ブランコに乗れるようになった |
このほかにも親御さんよりたくさんのお声を頂いております。是非ご覧ください。
脳室周囲白質軟化症(PVL)の新着症例
- 脳室周囲白質軟化症(PVL)
-

- 脳室周囲白質軟化症(PVL)
-

- 脳室周囲白質軟化症(PVL)
-




- 大人の主な対応症状
-
ジストニア(痙性斜頸・書痙・フォーカルジストニア・発声障がい・チック) /不随運動症状/
パーキンソン病(PD)/多系統萎縮症(MSA)/脊髄小脳変性症(SCD)/繊維筋痛症/多発性筋炎/耳鳴り/難聴/めまい/眼精疲労/自律神経失調症/
うつ/不安/睡眠障害/更年期症状/婦人科疾患/皮膚疾患/肩こり/腰痛/脊柱管狭窄症/坐骨神経痛/ぎっくり腰/頭痛/糖尿病/五十肩/腱鞘炎/高血圧 - 子供の主な対応症状
- 脳室周囲白質軟化症(PVL)/小児麻痺/急性脳症/発達障がい(自閉症(ASD)・学習障がい(LD)・多動症(ADHD)・言葉おくれ・コミュニケーション障がい/てんかん/小児ぜんそく・アレルギー/チック症・吃音/不眠/起立性調整障がい/皮膚疾患(アトピー・にきび・肌荒れ)/虚弱体質/疳虫(かんむし)/夜泣き・奇声・イライラ/かみつき









動画で見る大阪 前田鍼灸院
少し古いですが2017年の紹介動画です
大阪 前田鍼灸院 創立100周年記念
ホンマルラジオ
"ぼちぼちでオーケー"
3回シリーズ出演しました
第1回
大阪 前田鍼灸院とは
第2回
前田先生と大阪 前田鍼灸院とは
第3回
教えて前田先生!
楽しく、わかりやすく
話しています!
ぜひ聴いてみてください





